잇몸성형으로 치아도 황금비율을 찾아보자
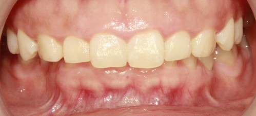
25세 여자 환자
23년 8월 심미적인 이유로 치은절제술 시행
시행전과 시행 2주 후 모습


치아 길이와 폭의 비율 개선과 gummy smile 개선으로 심미적으로 긍정적인 효과를 가져옴
좀 시려할까 걱정했는데 다 괜찮다고^^
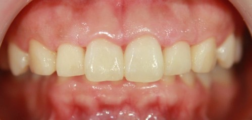
25세 여자 환자
23년 8월 심미적인 이유로 치은절제술 시행
시행전과 시행 2주 후 모습


치아 길이와 폭의 비율 개선과 gummy smile 개선으로 심미적으로 긍정적인 효과를 가져옴
좀 시려할까 걱정했는데 다 괜찮다고^^