믿을 수 있는
가락삼성치과

치과 치료가 무섭다면?
가락삼성치과의 수면진정치료를 신청하세요.

대표원장 책임진료

치과치료는 경험 많고 실력있는 치과의사에게 받아야 합니다.

많은 분들이 임플란트 치료를 받았는데, 임플란트 치료후 임플란트에 문제가 생겨 다시 치료하는 분들도 있는 만큼, 경험 많고 실력있는 치과 의사분께 받아야 오랜시간 편안하게 사용할 수 있는 임플란트 치료를 기대할 수 있습니다. 가락삼성치과는 구강외과와 전문의 대표원장님께서 책임진료 해주시기 때문에 편안하게 사용할 수 있는 임플란트 치료를 기대할 수 있습니다

수면진정치료

치료를 받고 싶은데 치과 치료가 무섭지는 않으신가요?

어떤 환자 분들은 치료를 받고 싶은데 치과 치료가 너무 무서워서 미루시는 경우가 있습니다. 치과 질환은 초기에 치료하면 간단하고 비용도 저렴하게 치료할 수 있는 경우가 많은데, 이렇게 병을 키우면 치료하기도 힘들어지고 비용도 많이 들게 되어서 안타까운 경우가 많습니다. 가락삼성치과는 안전한 수면진정치료를 위한 설비와 인력을 마련하여 환자분께서 편리하게 이용할 수 있습니다.

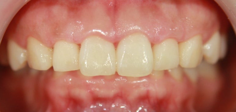
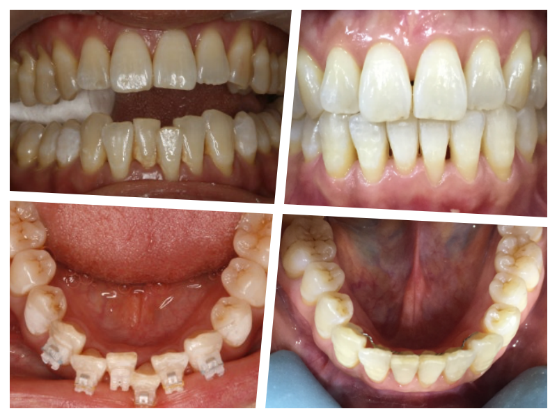
치아 교정

3D 스캔 투명교정으로 간편한 교정치료를 제공합니다.

치아 교정 치료는 기능성과 심미성이 적절한 조화가 이루어져야만 성공적인 치아 교정이라 할 수 있습니다.그렇기에 실력있는 의료진이 축적된 노하우와 기술로 부작용을 최소화하여 환자가 원하는 이상적인 치료 결과를 만들어 내야 합니다. 개인마다 식습관, 치아의 배열, 얼굴의 형태, 라이프스타일 등 전부 다 각기 다르므로 이 모든 항목들을 꼼꼼하게 체크한 후 개개인에게 맞는 맞춤 진단이 필요합니다.

Departments

가락삼성치과는 국가 전문의가 체계적으로 진료를 담당하고 있습니다.

수면진정치료

치과 공포증 환자를 위한 안전하고 편안한 수면 진정 치료 제공

더 알아보기

치아교정

클리피씨 교정, 2D 교정, 콤비 교정, 설측 교정, 부분 교정등의 다양한 교정 치료

임플란트, 치조골 이식

앞니 임플란트, 어르신 보험 임플란트, 즉시 임플란트 및 상악동 거상술과 치조골 이식술등

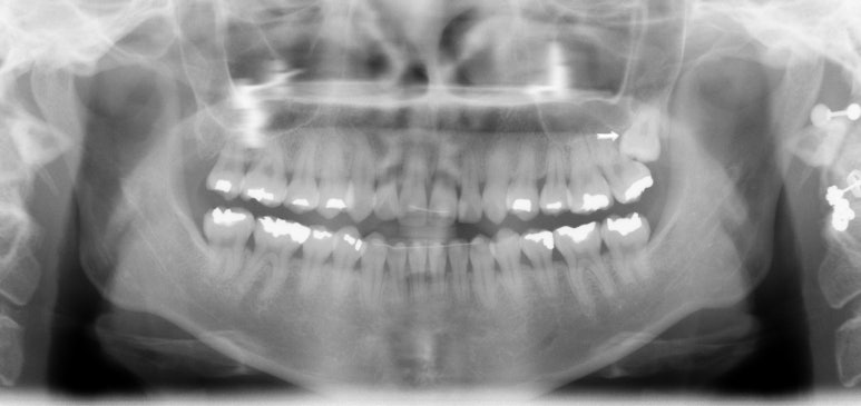
사랑니 발치

매복된 사랑니, 누운 사랑니, 교정 사랑니, 휘어진 뿌리를 가진 치아 발치, 과잉치 발치등

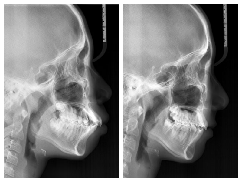
턱관절 질환

턱관절 질환의 검사, 물리치료, 스플린트(교합안정장치) 치료, 이갈이, 코골이의 치료

디지털 심미보철

본을 뜨지 않는 보철치료, 컴퓨터 스캔을 이용한 최첨단 CAD/CAM 지르코니아 보철

네이버 예약

진료를 위한 예약이나 상담은 전화나 네이버 예약으로 가능합니다.

네이버 예약

가락삼성치과만의 특별함

수면진정치료
디지털 심미보철
전문의 진료
디저털 턱관절치료
당일 사랑니발치
디지털 투명교정
Image

치과 치료가 두렵다면
편한하게 수면치료로 자는 동안 치료를 끝내보세요!

삼성서울병원 출신 구강악안면외과 전문의가 안전하게 진행합니다.

더 알아보기

주목할만한 블로그

1년만에 다시 오신 겁 많은 환자분

1년전 4월 치과가 너무 무섭다고 수면마취로 충치치료를 받고는 발치 치료를 미루시다가 다시 오신 환자분, 수면마취 첫 블로그 글의 주인공~ 오…

더보기

선화예중 친구들

발레리나 친구들~ 무대에 서는 친구들이라 외모에 민감하고 특히 돌출과 비대칭때문에 사진 찍을 때 신경이 많이 쓰인다고 했다. 사실 골…

더보기

구역질이 심해요

구역질이 심해서 작년에 치료를 받다가 그만두고 치아가 아파서 내원했다는 30대 남자 환자 네.. 보통 입천장이나 혀쪽이 자극되면 구역질을 하는…

더보기

사랑니의 쓸모를 찾아서~

27세 여자 환자 좌측 제2대구치를 발치해야한다는 진단을 받고 상담 중 사랑니를 교정해서 위치시키고 써보자고 얘기했다~ 수술을 …

더보기