사랑니뽑을 때 신경손상 나도 무섭다
아래 사랑니를 뽑아야하는 상황이 오면 치과의사에게 무시무시한 얘기를 듣게된다...
많이 붓고 아프고 앞니가 시릴 수도 있고 등등
그 중에 제일이 무엇인고하니 바로 신경손상, 두둥~
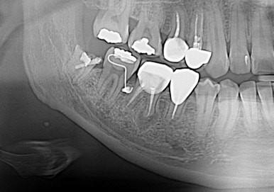
그 무엇인가 하니 하악 매복사랑니는 열에 아홉은 신경관과 뿌리가 매우 근접하여 발치시 손상될 가능성을 고지하게된다.
그래서 큰 병원가세요~ 하는 경우가 많은데 큰 병원가도 같은 얘기를 한다는거지
나도 환자에게 얘기한다. CT 찍고 위치를 확인하고 되도록 신경에 손상되지 않도록 하겠습니다.
제가 신이 아닌이상 100% 라는 것은 없습니다.
그렇다.. 그래서 손상의 가능성을 줄이고 줄여보자해서 ....

사랑니 뿌리가 신경관과 근접


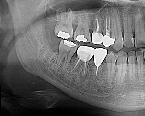
교정력을 주어 열심히 당기기 한 달 별다른 위치변화가 보이지 않아서 좀 답답하다...

그리고 한 달이 더 흐른 후 x-ray를 확인하며 너무 행복했다.. 노력이 헛되지 않았으니

수술날짜를 잡고 나머지 뿌리도 깨끗하게 발치완료~
이 환자의 경우 다른 환자와 다른 것
이 사랑니가 누워있지 않고 서있어서 오히려 교정력을 주기가 더 어려웠다.