가락삼성치과
Home
인사말
진료과목
치료사례
의료진
Blog
오시는길
Case details
Home
Case details
선화예중 친구들
카테고리
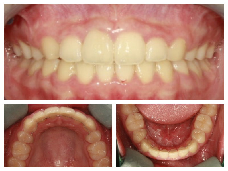
: 치아교정
참고링크
:
선화예중 친구들 바로가기
돌출입교정
돌출과 비대칭 교정치료