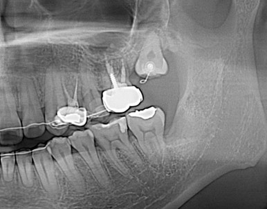
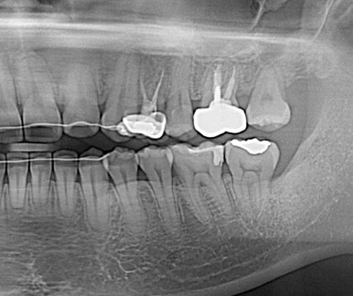
Case details

사랑니의 쓸모를 찾아서~

사랑니 교정

사랑니를 교정치료를 통해 어금니로 사용하는 케이스