가락삼성치과
Home
인사말
진료과목
치료사례
의료진
Blog
오시는길
Case details
Home
Case details
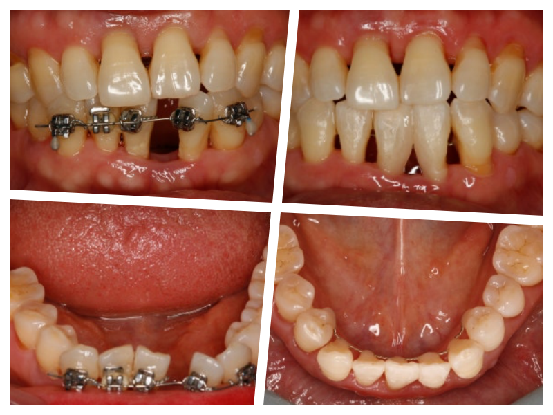
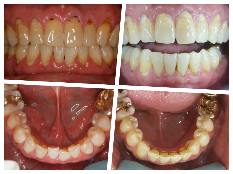
교정치료
카테고리
: 치아교정
참고링크
:
교정치료 바로가기
아래 앞니교정
성인 중년의 앞니 비뚤어짐 교정치료