가락삼성치과
Home
인사말
진료과목
치료사례
의료진
Blog
오시는길
Case details
Home
Case details
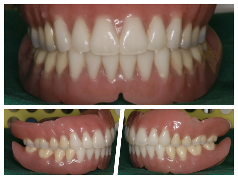
틀니치료
카테고리
: 보철
참고링크
:
틀니치료 바로가기
틀니 예쁘게 해줘~
보험 완전 무치악 틀니